من نحن  |  الاتصال بنا
آخر الأخبار

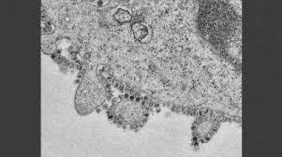
 - أول صورة لفيروس "كورونا" اثارت مخاوف واسعة في العالم لتكاثر القاتل والعابر للحدود..

الأحد, 02-فبراير-2020
صعدة برس-متابعات -
نشر علماء بجامعة هونغ كونغ صوراً مكبرة لفيروس «كورونا» الجديد الذي أثار حالة طوارئ صحية عالمية.
وتُظهِر صورة مجهرية إلكترونية دقيقة جزءاً من خلية مصابة بـ«كورونا»، بينما يطلق سطحها جزيئات من الفيروس، بحسب ما نشرته وكالة «بلومبرغ».
وقال جون نيكولز، وهو أستاذ في علم الأمراض (باثولوجي) في الجامعة، إن كل خلية مصابة تنتج الآلاف من جزيئات الفيروسات المعدية الجديدة التي يمكن أن تستمر في إصابة خلايا أخرى.
ويدرس الباحثون عينات في فترات زمنية مختلفة لفهم كيف يتكاثر فيروس «كورونا» الجديد الذي أطلق عليه اسم «2019 - إن - كوف» مقارنة بفيروسات أخرى من الفصيلة نفسها.
وأوضح نيكولز أن الفيروسات ذات الصلة التي تسببت في متلازمة الجهاز التنفسي الحادة الوخيمة (السارس) ومتلازمة الجهاز التنفسي في الشرق الأوسط قد تمت دراستها على نطاق أوسع.
وارتفع عدد حالات الوفيات الناجمة عن الإصابة بفيروس «كورونا» الجديد في الصين ليصل إلى 259 حالة وفاة، فيما قفز عدد المصابين بالفيروس إلى 11 ألفاً و791 مصاباً، حسبما أفاد به مسؤولون صينيون، اليوم (السبت)، وفقاً لتقرير نشرته «وكالة الأنباء الألمانية».
وقال مسؤولو الصحة في إقليم هوبي بوسط الصين، وهو بؤرة تفشي فيروس كورونا، إنه تم تسجيل 1347 حالة إصابة جديدة في الإقليم بمفرده، ليرتفع العدد الإجمالي لحالات الإصابة به إلى 7153 حالة.
وقد أغلقت السلطات الصينية مدينة ووهان، التي يبلغ عدد سكانها 11 مليون شخص، وغيرها من المدن.

أضف تعليقاً على هذا الخبر
ارسل هذا الخبر
تعليق
إرسل الخبر
إطبع الخبر
RSS
انشر في تيليجرام
انشر في فيسبوك
انشر في تويتر

مختارات
شاهد مصانع الارتقاء للبلاستيك - فيديو
صعدة برس - خاص
شاهد بالفيديو.. تفاصيل عملية "فجر الإنتصار" بمأرب
صعدة برس - وكالات
جرائم العدوان السعودي الأمريكي على اليمن خلال 2000 يوم "انفوجرافيك"
صعدة برس-متابعات
ست سنوات على العدوان على اليمن.. خسائر بالجملة
صعدة برس
شاهد.. ابشع مجزرة بحق 34 طفل و10 نساء بمنطقة صبر – صعدة
صعدة برس
ابشع مجزرة يرتكبها طيران العدوان السعودي في اليمن بحق معزين بالصالة الكبرى بصنعاء
صعدة برس
شاهد..جريمة قصف العدوان السعودي الأمريكي مديرية الجراحي جنوب الحديدة
صعدة برس
مشاهد مروعة لمجزرة طيران العدوان السعودي في مدينة يريم بإب
صعدة برس
شاهد..جرائم العدوان السعودي الامريكي في اليمن (حجة)
صعدة برس
شاهد..Saudi Arabia crimes in Yemen جرائم التحالف السعودي في اليمن
صعدة برس
شاهد..جرائم العدوان السعودي الامريكي في اليمن (حجة)
صعدة برس
جميع حقوق النشر محفوظة 2026 لـ(شبكة صعدة برس الإخبارية)